# 96 - @diagnóstico 96

# 96 - @diagnóstico 96

Fecha:
Diciembre 2025
Autores:
Yamila Marques

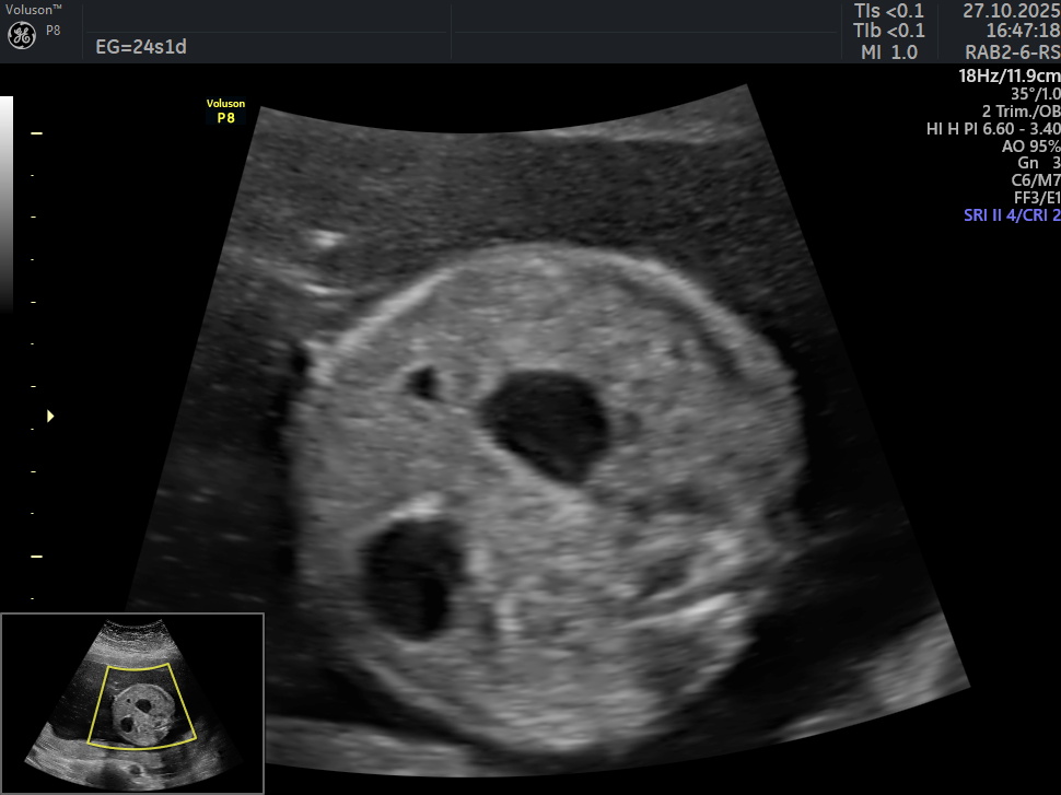
Se presenta el caso de una paciente de 39 años de edad, primigesta, sin antecedentes personales ni familiares de relevancia. La paciente adjunta el estudio de screening de aneuploidías de la semana 11-14, que arroja bajo riesgo. Las imágenes que se presentan a continuación corresponden al estudio morfológico fetal realizado en la semana 24. Seleccione la opción correcta : A. Se visualiza cámara gástrica dilatada, conectada con una imagen quística anecogénica, de probable origen duodenal (Signo de la doble burbuja). B. La anatomía es de apariencia normal para la edad gestacional. C. Los hallazgos podrían corresponder a una probable atresia esofágica. D. Los hallazgos podrían corresponder a una dilatación quística del conducto biliar.


Enviar un solo mail, con un solo diagnóstico por persona, a revistasaumb@gmail.com
Asunto: Respuesta @diagnóstico caso 96
Mencionar: Apellido, nombre y ciudad.
Fecha límite de recepción de respuestas: 14/02/2026