# 81 - Embarazo ectópico

# 81 - Embarazo ectópico

Fecha:
Diciembre 2021
Autores:
Dra. Vera Zarebski

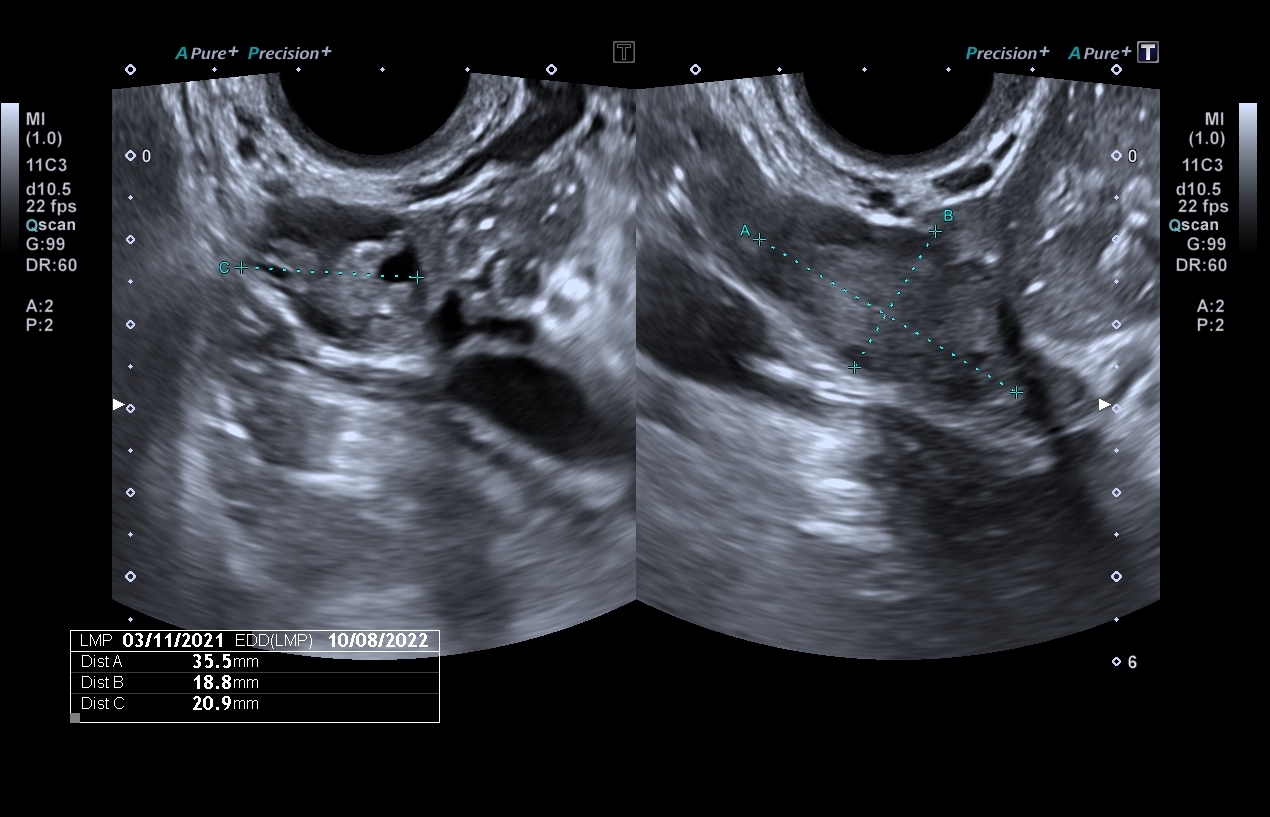
Se presenta a la consulta una paciente que refiere una amenorrea de 7 semanas. No presenta antecedentes de relevancia. En el examen ultrasonográfico se visualizan las siguientes imágenes (figs. ) ¿Cuál es su presunción diagnóstica? a) Las imágenes corresponden a la fase progestacional del ciclo menstrual normal, ya que el endometrio se encuentra engrosado y se visualiza el cuerpo lúteo en uno de los ovarios. b) Las imágenes son compatibles con el diagnóstico de un embarazo ectópico. c) Las imágenes son signos de alarma de muerte embrionaria precoz por lo que se solicita repetir el estudio en 7 a 10 días.


El embarazo ectópico (EE) es un tipo de embarazo que se ha implantado en una localización diferente a la cavidad endometrial. Es una palabra de origen griego donde “ektopos” significa fuera de lugar. Corresponde al 1-2% del total de embarazos y, en muchos casos, constituye una emergencia ginecológica. La tasa de recurrencia es del 1% luego de un episodio y de hasta un 25% luego de dos o más episodios de embarazo ectópico. Dentro de los embarazos ectópicos cabe destacar los denominados embarazos heterotópicos, que son aquellos en los que simultáneamente ocurre un embarazo ortotópico y uno heterotópico. De modo natural ocurren en aproximadamente 1 de cada 30.000 casos pero la frecuencia aumenta considerablemente como consecuencia de tratamientos de fertilidad.

Clásicamente los factores de riesgo para embarazo ectópico incluyen el antecedente de embarazo ectópico, infecciones del tracto genital superior, los tratamientos de fertilidad, el tabaquismo, entre otros.

El sitio de implantación más frecuente es en la Trompa de Falopio en el 90-95% de los casos. Dentro de la trompa, en orden decreciente de frecuencia se ubican en la ampolla (80%), a nivel ístmico (12%), en las fimbrias (6%) y por último a nivel intersticial (2%).

La evaluación de una paciente que presenta síntomas compatibles con embarazo ectópico incluye el examen físico, determinaciones cuantitativas de subunidad beta y la utilización de métodos de diagnóstico por imágenes. Dentro de los métodos de imágenes, la ecografía transvaginal constituye el gold standard diagnóstico con una sensibilidad del 87-99% y una especificidad del 94-99%. En el contexto de un embarazo ectópico se pueden observar hallazgos a nivel uterino, en los anexos, a nivel peritoneal entre otros. Dentro de los hallazgos uterinos se puede observar la reacción decidual que se define como cambios endometriales inducidos por la presencia de un embarazo, independientemente de su localización. Puede adoptar características ecográficas diversas en relación al grosor y ecogenicidad endometrial. Es importante destacar que no existe un grosor endometrial predictor de EE. El pseudosaco es otro hallazgo a nivel uterino que se define como una imagen líquida sin paredes propias, similar al saco gestacional, pero de localización intracavitaria y no intradecidual excéntrico.

Los hallazgos anexiales son tal vez los más representativos para el diagnóstico del EE. Se debe destacar que el 95% de los EE son tubarios y que las trompas de Falopio no se visualizan en condiciones normales. En el 70-80% de los EE se puede observar un cuerpo lúteo ipsilateral a la trompa afectada. El diagnóstico de EE queda establecido si se observa un saco gestacional con un saco vitelino y/o un polo embrionario con o sin actividad cardíaca. Esta situación solo se observa en el 10-25% de los casos. En cambio, se define como probable EE la presencia del signo de la gota o el signo del bagel. El signo de la gota o blob sign se refiere a la presencia de una masa heterogénea que corresponde al trofoblasto y coágulos, adyacente al ovario y con movilidad independiente. El signo del bagle hace referencia a un anillo hiperecogénico con un centro anecoico o hipoecoico. Este último hallazgo posee una sensibilidad del 89-100% y una especificidad del 92-99% para el diagnóstico de EE. Como hallazgos peritoneales se puede observar la presencia de líquido hemorrágico con un patrón de vidrio esmerilado en el fondo de saco de Douglas o a nivel del espacio de Morrison.

En relación al caso presentado en el número anterior, la respuesta correcta es la b: imágenes compatibles con un embarazo ectópico. A las 7 semanas de amenorrea se debe observar un saco gestacional con un embrión intrauterino. A nivel de los anexos se puede visualizar un cuerpo lúteo pero ante la falta de la imagen uterina, se deben estudiar con mucha cautela los anexos por la posibilidad de tratarse de un EE. En este contexto, es fundamental una correcta anamnesis, el examen físico y la determinación seriada de la subunidad beta de la hormona gonadotrofina coriónica.


Lecturas Recomendadas:

- Scibetta E. Han C. Obstet Gynecol Clin N Am 46 (2019) 783–795
- Fields, L. Hathaway A. Key Concepts in Pregnancy of Unknown Location:Identifying Ectopic Pregnancy and Providing Patient-Centered Care. Journal of Midwifery &Women’s Health. 2016
- Winder, S. Reid, S. Ultrasound diagnosis of ectopic pregnancy. AJUM May 2011; 14 (2): 29–33

Enviar un solo mail, con un solo diagnóstico por persona, a revistasaumb@gmail.com
Asunto: Respuesta @diagnóstico caso 81
Mencionar: Apellido, nombre y ciudad.
Fecha límite de recepción de respuestas: 20/03/2022