# 63 - Atresia Duodenal

# 63 - Atresia Duodenal

Fecha:
junio 2017
Autores:
Vera Zarebski

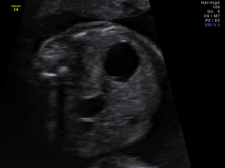
Se presenta a la consulta una paciente que cursa un embarazo de 32 semanas. A nivel abdominal el estudio ultrasonográfico revela el siguiente hallazgo: Cuál de las siguientes asociaciones espera encontrar en este feto: 1. Oligohidramnios / 2. Trisomía 21 / 3. Doppler alterado


Respuesta correcta: 2.

En la figura 1 se observa la presencia del signo de la doble burbuja.  Para confirmar este hallazgo es imprescindible que haya continuidad entre ambas burbujas (figura 2). El diagnóstico presuntivo en este caso es el de atresia duodenal y se asocia en aproximadamente un 30% de los casos a trisomía 21.

Atresia Duodenal

Como consecuencia del plegamiento cefalocaudal y lateral del embrión una porción de la cavidad del saco vitelino revestida por endodermo queda incorporada al embrión para formar el intestino primitivo. Las otras dos pociones (saco vitelino y alantoides) quedan en posición extraembrionaria. Tanto en el extremo cefálico como en la porción caudal del embrión, el intestino primitivo forma un tubo ciego: el intestino anterior y el intestino posterior. La parte media, el intestino medio, conserva por un tiempo su comunicación con el saco vitelino a través del conducto onfalomesentérico. El tercio proximal del duodeno tiene su origen en el intestino anterior mientras que los dos tercios distales se originan del intestino medio1.

El término atresia hace referencia a un defecto congénito de una víscera hueca que resulta en una obstrucción completa de su luz. En el caso del duodeno, durante las semanas 6 y 7 del desarrollo embrionario la luz del duodeno se oblitera fisiológicamente por proliferación de las células de sus paredes. Sin embargo, entre las 8 y 10 semanas vuelve a recanalizarse. Si esto no ocurre se produce la atresia duodenal.  

La atresia duodenal tiene una incidencia de 1/ 10.000 - 40.000 nacimientos por año y es responsable del 60% de las obstrucciones intestinales. Clínicamente el recién nacido puede presentar distensión abdominal, vómitos dentro de las primeras 24-48 hs de vida e ictericia.

Existe una clasificación que divide a la atresia duodenal en tres tipos, según su mecanismo fisiopatológico: el tipo 1 es la forma más frecuente y se debe a la presencia de un diafragma en la mucosa mientras que la pared duodenal se encuentra intacta; en el tipo 2 existe un cordón fibrótico que conecta ambos extremos intestinales y en el tipo 3, los extremos proximal y distal a la obstrucción se encuentran completamente separados2.

            En el período prenatal el signo de la doble burbuja es un hallazgo característico. En un corte axial del abdomen fetal se observa una burbuja a la izquierda que corresponde al estómago y otra a la derecha que corresponde a la primera porción del duodeno. Sin embargo, este signo posee numerosas limitaciones.  En primer lugar no está libre de falsos positivos. Por otro lado, es infrecuente observarlo antes de las 20 semanas ya que recién cerca de las 25 semanas de gestación el estómago alcanza el 60% de la amplitud de presión del término. Por último, el vómito fetal puede descomprimir el estómago por lo que puede no ser visualizado. El polihidramnios se presenta hasta en un 70% de los fetos con atresia intestinal3,4.

            Dentro de los diagnósticos diferenciales se proponen el páncreas anular, la malrotación intestinal, la duplicación gastrointestinal, la vena portal preduodenal y el quiste de colédoco5.

            Los fetos con atresia duodenal tienen complicaciones asociadas hasta en un 50% de los casos. La asociación con trisomía 21 es muy frecuente y ocurre en aproximadamente un 25-30% de los casos por lo que se debe solicitar un cariotipo. Un 30% de los fetos puede presentar alguna cardiopatía por lo que también estaría indicado un ecocardiograma fetal. Por último, la atresia duodenal puede formar parte de la asociación VACTERL6.

            Como conclusiones se puede afirmar que la atresia duodenal tiene muy buen pronóstico, presenta alta asociación con aneuploidías y otras malformaciones, el diagnóstico prenatal es posible en la mayoría de los casos y es importante ya que permite planear el procedimiento quirúrgico postnatal.

 

Vera Zarebski.

verazarebski@gmail.com


Lecturas Recomendadas:

1. Sadler TW, Langman. Langman fundamentos de embriología médica. Ed. Médica Panamericana; 2006. 174 p.
2. Morris G, Kennedy A, Cochran W. Small Bowel Congenital Anomalies: a Review and Update. Curr Gastroenterol Rep [Internet]. 2016;18(4). Available from: http://dx.doi.org/10.1007/s11894-016-0490-4
3. Traubici J. The Double Bubble Sign. Radiology. 2001;220(2):463–4.
4. Kimble RM, Harding JE, Kolbe A. Does gut atresia cause polyhydramnios? Pediatr Surg Int. 1998;13(2-3):115–7.
5. Choudhry MS, Rahman N, Boyd P, Lakhoo K. Duodenal atresia: associated anomalies, prenatal diagnosis and outcome. Pediatr Surg Int. 2009;25(8):727–30.
6. Lawrence MJ, Andrew Ford WD, Furness ME, Hayward T, Wilson T. Congenital duodenal obstruction: early antenatal ultrasound diagnosis. Pediatr Surg Int. 2000;16(5-6):342–5.